Šta je potrebno znati

  • Prelomi ramena često su komplikovani. Do preloma ramena može doći na jednom ili više mesta u ramenu.
  • Postoje tri osnovna tipa preloma ramena: prelom ključne kosti, prelom gornjeg dela nadlaktice, prelom lopatice.
  • Opšti simptomi preloma ramena su bol, otok, nemogućnost pokretanja ramena, deformitet, krckanje pri pokretima.
  • Lečenje može biti operativno i neoperativno, zavisi od vrste i težine preloma.

Uzroci preloma ramena

Prelom ramena može nastati kao posledica povrede ramena prilikom pada direktno na rame, povrede u saobraćajnoj nesreći ili povrede tokom bavljenja ekstremnim sportovima. Rame je vrlo kompleksan zglob, pa su tako i prelomi često komplikovani. Do preloma može doći na jednom ili na više mesta u zglobu ramena.

Građa ramena, kosti i ligamenti
Građa ramena

 

Prelomi ramena – tipovi

Sam zglob ramena čine 3 kosti: nadlaktica (humerus), ključna kost (klavikula) i lopatica (skapula). Prelomi mogu biti različiti i variraju u zavisnosti od životne dobi. Kod dece, najizloženija povredama je ključna kost, dok kod odraslih najčešće dolazi do preloma u predelu glave nadlakatne kosti (proksimalni humerus).

Dijagnoza se postavlja rendgenskim snimkom, a nekada je potrebno uraditi i CT skener povređenog ramena kako bismo dobili precizniji uvid u vrstu preloma.

Prelom ključne kosti

Prelom ključne kosti je obično posledica pada i najčešći je kod mlađih, aktivnih osoba. Ključna kost ima veliki potencijal zarastanja pa je uobičajeni tretman konzervativni – ruka u trougloj marami (mitela). Operativni zahvat se preporučuje u slučajevima velike deformacije na mestu preloma, višestrukih (kominutivnih) preloma ili kada je ugrožena koža pa preti opasnost od prelaska u otvoreni prelom.

Prelom ključne kosti (klavikule), rendgenski snimak
Prelom ključne kosti

 

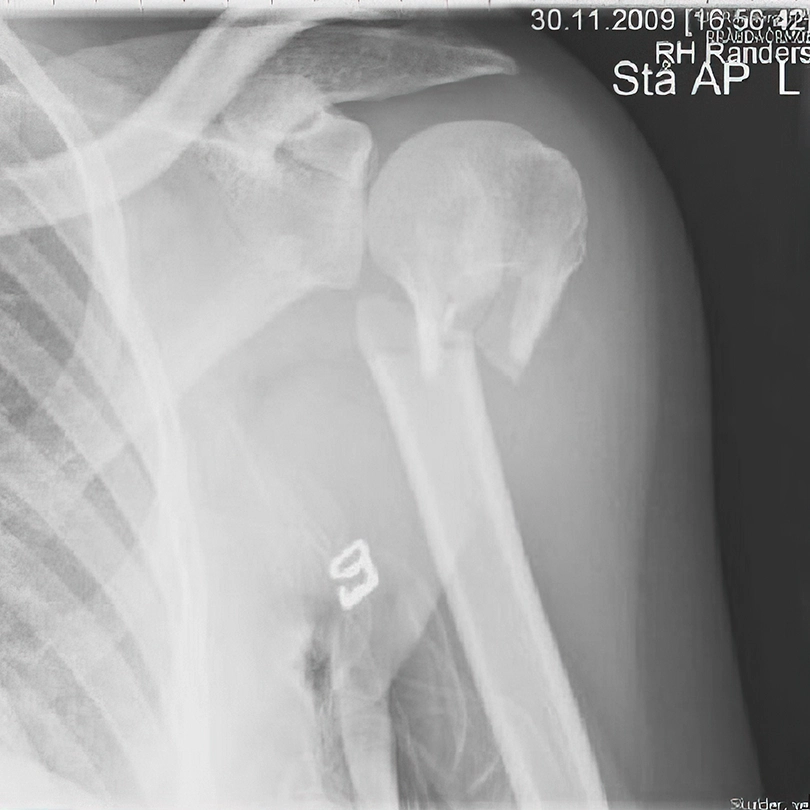
Prelom gornjeg dela nadlaktice

Prelom gornjeg dela nadlaktice javlja se najčešće kod starije populacije (preko 65 godina). Ukoliko je u pitanju prost prelom nadlaktice (tzv. dvodelni prelom nadlaktice) i ukoliko je položaj koštanih fragmenata zadovoljavajući, lečenje je konzervativno – trouglom maramom. Ukoliko je prelom nadlaktice iz više fragmenata, oni su često pomereni (dislocirani) i tada se preporučuje hirurška intervencija. Najčešće se pod pojmom preloma ramena podrazumeva ovaj prelom.

Prelom gornjeg okrajka nadlaktice (humerusa), rendgenski snimak
Prelom humerusa

 

Prelom lopatice

Prelom lopatice je redak jer je ova kost dobro zaštićena grudnim košem i okolnim mišićima. Do preloma lopatice dolazi usled ozbiljnijih trauma prilikom direktnog udarca ili pada na rame (na primer, sa motora ili sa velike visine). Prelomi lopatice često su udruženi sa povredama grudnog koša.

Prelom lopatice, CT rekonstrukcija
Prelom lopatice

 

Prelom ramena – simptomi

Opšti simptomi preloma u ramenu su:

  • bol
  • otok
  • nemogućnost pokretanja ramena
  • deformitet
  • krckanje prilikom izvođenja pokreta

Pored opštih, postoje i specifični simptomi u zavisnosti od mesta, tj. tipa preloma:

  • Prelom ključne kosti: deformitet, ograničenje pokreta (ali ne toliko kao kod preloma humerusa)
  • Prelom humerusa: veliki otok u ramenu, veoma ograničena pokretljivost, jak bol
  • Prelom lopatice: bol, otok, modrice

 

Lečenje preloma ramena

Neoperativno lečenje preloma ramena

Prelom ramena se neoperativnim putem leči najčešće trouglom maramom (mitelom) u trajanju 4–6 nedelja, u zavisnosti od stepena stabilnosti preloma. Prelom zarasta takozvanim “mekim kalusom” za oko 2 nedelje i postaje stabilan. Po okončanju perioda imobilizacije, dozvoljeni su pokreti u ramenu i specijalizovane vežbe za prelom ramena, najpre u obliku pasivnog treninga.

Imobilizacija ramena trouglom maramom, mitelom
Imobilizacija ramena (mitela)

 

Operativno lečenje preloma ramena

Operativno lečenje ima za cilj da se polomljeni fragmenti dovedu u prvobitni položaj i stabilizuju. Uglavnom se primenjuje kod preloma gornjeg dela nadlaktice, pri čemu se stabilizacija najčešće sprovodi pločicom i šrafovima ili tzv. klinom. Ukoliko se, nakon što prelom sraste, ne dobije zadovoljavajući obim pokreta, preporučuje se vađenje pločice i tzv. release (popuštanje, oslobađanje od priraslica) ramena. Prelomi ramena, bez obzira na način tretiranja, često za posledicu imaju smanjenu pokretljivost ramena, a ponekad i bolove pri pokretima.

Osteosinteza preloma ramena, rendgenski snimak
Osteosinteza preloma ramena

 

Fizikalna terapija – vežbe za prelom ramena

Fizikalna terapija u vidu treninga (kineziterapije) je neophodna da bi se povratili pokreti u ramenu i obavezna je nakon okončanja inicijalne procedure lečenja. Jako je bitno što ranije započeti pasivne vežbe za prelom ramena, bilo da se sprovodi operativno ili neoperativno lečenje, kako bi se predupredila ukočenost. Sa aktivnim vežbama za prelom se kreće nakon što prelom sraste, najčešće nakon 6 nedelja. Terapija je dugotrajna i često nije moguće povratiti pun obim pokreta.